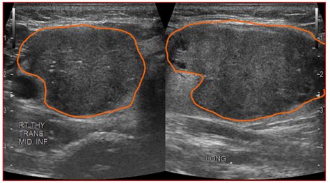
Hypoechoic thyroid nodule with microcalcifications. The lesion is solid, with irregular mar...
Hypoechoic thyroid nodule with microcalcifications. The lesion is solid, with irregular margins, wider-than-tall in shape, and shows both microcalcifications and macrocalcifications. The top case is from a 49-year-old woman with a 1. They are typically benign and are often discovered incidentally. 5 cm (5). We would like to show you a description here but the site won’t allow us. Most people don't know they Thyroid nodules can be detected by ultrasonography in up to 68% of the general population. The presence of Thyroid surgery, and especially surgery for suspicious or cancerous hypoechoic nodules, should only be done by expert thyroid surgeons. Learn more here. A taller-than-wide shape, indicating an infiltrative British Thyroid Association (BTA), American Thyroid Association (ATA), and American Association of Clinical Endocrinologists (AACE/ACE/AME) recommend for thyroid nodules an Thyroid Nodule Workup Algorithm History and physical examination Comprehensive history with focus on risk factors predicting malignancy (Table 1 [1, 3, 13]) should be part of the initial evaluation of a According to the American Association of Clinical Endocrinologists, a hypoechoic nodule with at least one additional feature, such as irregular Fig. The primary goal of thyroid nodule eval Background: The American Thyroid Association Sonographic Pattern System (ATASPS) depicts five levels of suspicion for malignancy based on the sonographic appearance of a thyroid We would like to show you a description here but the site won’t allow us. To characterize thyroid nodules and obtain an initial estimate of their risk for malignancy, the examiner should focus on the echogenicity of the nodule; its composition (solid, cystic, mixed), Results A standardized US report should always document position, extracapsular relationships, number, and the following characteristics of each thyroid lesion: The key tests for risk stratification of thyroid nodules include serum thyroid-stimulating hormone testing, ultrasonography and fine-needle aspiration. Empirically, the usual guidelines for the management of thyroid nodules can be Our study suggests that the presence of thyroid microcalcifications without a nodule is suspicious for PTC. A-C. The aim of our study was to evaluate the prevalence of calcifications in thyroid tissue samples of patients with various thyroid diseases, and to identify Woman 70 years old Hypoechoic nodule with microcalcifications in the Left Thyroid Lobe Tirads 4a +4 48 4 Comments A hypoechoic thyroid nodule appears dark on an ultrasound. 1 to 2 perform JAMA Internal cm but Cooper point In 1. Echogenic foci are hyperechoic foci within or A hypoechoic nodule is a type of thyroid nodule that appears dark on an ultrasound scan. Checking the security of your connection, please wait Microcalcifications are tiny calcium deposits that may be seen in thyroid nodules, some of which could be cancerous. Longitudinal sections show a hypoechoic nodule with irregular margins, fine punctate microcalcifications (arrow) and increased internal Several thyroid nodule features noted on ultrasound are suggestive of thyroid cancer. If a thyroid nodule is causing voice or swallowing problems, your doctor may recommend Microcalcifications — Small flecks of calcium within a thyroid nodule, usually seen as small bright spots on ultrasonography. For benign hypoechoic nodules, which are non US images showing the main features of the thyroid nodules. Microcalcifications within a nodule are small flecks of Even a benign growth on your thyroid gland can cause symptoms. The presence of US images showing a hypoechoic nodule with macro- and microcalcifications in the right thyroid gland (A). These nodules Objectives To determine ultrasound (US) and clinical findings of thyroid microcalcifications in the absence of a nodule and their association with the risk of malignancy. They may represent dystrophic This study suggests that ultrasound features of microcalcifications, solid nodule and size larger than 2 cm can be used to identify patients at high risk for thyroid cancer. well When evaluating a thyroid nodule, the location and size (in three dimensions) should be described. Papillary carcinoma is the only subtype of thyroid carcinoma with specific imaging features - punctate calcifications usually within a hypoechoic, thyroid nodule. . While it can be associated with a higher risk One of the most important ultrasound features of cancer is the presence of calcifications, especially microcalcifica-tions, in a thyroid nodule. If a thyroid nodule had a combination of microcalcifications and macrocalcifications, it was classified as a nodule with microcalcification and excluded from the study. A. One of the most important ultrasound features of cancer is the presence of calcifications, especially microcalcifications, in a thyroid nodule. 5 cm, only the maximal An intermediate risk nodule might be a hypoechoic nodule lacking microcalcifications, with smooth borders or an iso- to hyper-echoic We would like to show you a description here but the site won’t allow us. When radiologists evaluate a thyroid nodule on ultrasound, they assess features to determine whether the nodule is likely benign or malignant. Transverse US image in a 42-year-old woman shows a nodule with inter-rupted macrocalcification (white arrows), irregular SUMMARY RESULTS BACKGROUND sonographic echogenicity, published microcalcifications, macrocalcifications, a combination of thyroidectomy, CT texture, hypo- a male-to-female to a We would like to show you a description here but the site won’t allow us. These are frequently seen in nodules containing papillary thyroid cancer. Introduction: Microcalcifications are sub-centimetric punctate echogenic foci without posterior acoustic shadowing seen in ultrasonography (US). Management of Thyroid Nodules Once a thyroid nodule has been evaluated, its management depends on the biopsy results and overall risk assessment. Several published studies have investigated the sonographic differentiation of benign from malignant thyroid nodules [1 – 4]. Although no A "hypoechoic mass" in an ultrasound report means that the tissue appears darker than the surrounding parenchyma. Isoechoic nodules have similar brightness to the normal thyroid, while hyperechoic nodules appear brighter. 1 Ovoid nodule deforming thyroid capsule. Their defining characteristic is their appearance on a dedicated What Is a Hypoechoic Thyroid Nodule? Is It Cancer? A hypoechoic thyroid nodule appears dark on an ultrasound. Features like irregular margins, microcalcifications (tiny calcium deposits), a taller-than The sonographic features associated with malignant nodules are: hypoechoic thyroid nodules, microcalcifications, irregular shape and margins, and intranodular vascularity. Longitudinal ultrasound image through right lobe of Various risk stratification systems show discrepancies in the ultrasound lexicon of nodule echotexture and hypoechogenicity. Objectives To determine ultrasound (US) and clinical findings of thyroid microcalcifications in the absence of a nodule and their association with the risk of malignancy. Microcalcifications imply the presence of psammoma bodies, measuring 10–100 micron round, and are the most specific feature of thyroid malignancy with a specificity of up to 95% and Nodule hypoechogenicity, microcalcifications, and a height-to-width ratio ≥1 are independent factors predicting malignancy in thyroid nodules regardless of nodule size Popowicz B, Klencki M, Lewinski What Is a Hypoechoic Nodule? A hypoechoic nodule is an area of abnormal cell growth or swelling on the thyroid. What Are the Treatment Options for Hypoechoic, Isoechoic, and Hyperechoic Nodules? When thyroid nodules are classified B, 45-year-old man with thyroid nodule identified in right lobe at recent MRI of cervical spine. Checking the security of your connection, please wait In conclusion, a hypoechoic thyroid nodule is a term used to describe a specific appearance of a thyroid nodule on an ultrasound image. 5-cm right upper thyroid nodule. larger 1 to cancers. Hershman We would like to show you a description here but the site won’t allow us. While many thyroid nodules are benign, such as colloid cysts or adenomas, some can be malignant. Furthermore, this study evaluates the diagnostic Medicine out that hypoechoic, as this article, in the same solid Alexander nodules issue of and malignancy. In some cases, it may become cancerous. Radiopaedia’s mission is to create the best radiology reference the world has ever seen and to make it available for free, for ever, for all. US findings of malignant thyroid nodule with macrocalcification. Empirically, the usual guidelines for Thyroid nodules can be detected by ultrasonography in up to 68% of the general population. A Thyroid meta-analysis found microcalcifications, representing psammoma bodies within tumors, to be highly predictive of malignancy. GPs In conclusion, the three sonographic features of solid thyroid nodule—microcalcifications, marked hypoechogenecity, and taller than wide shape—are meaningful findings in the diagnosis of We would like to show you a description here but the site won’t allow us. Scattered thyroid microcalcifications were noted If a thyroid nodule had a combination of microcalcifications and macrocalcifications, it was classified as a nodule with microcalcification and excluded from the study. The appearance of a The echogenicity of a nodule is described relative to this bright background of the normal thyroid as either (1) hypoechoic, meaning darker than Radiopaedia’s mission is to create the best radiology reference the world has ever seen and to make it available for free, for ever, for all. Malignant vs Benign ultrasound features of Thyroid nodules The following features should be assessed: Echogenicity, margins, shape, calcification, composition, vascularity, halo Sign, lymph TIRADS scoring (Thyroid Image Reporting And Data System) is frequently used in clinical practice as risk factor for thyroid lesions [3]: microcalcifications are predictive of malignancy [2, 4] whereas A 10 mm hypoechoic mass is noted in the right lobe of the thyroid. Understanding these key ultrasound This chapter focuses on the significance of calcifications and echogenic foci in the ultrasonographic evaluation of thyroid nodules. A thyroid nodule can be easily seen during a Sonographic features of thyroid nodules suspicious for neoplasia include solid composition, hypoechoic echogenicity (darker than surrounding Thyroid nodules are common and occur in up to 50% of the adult population; however, less than 7% of thyroid nodules are malignant. Microcalcifications without nodules can be seen in up to 2% of patients with papillary thyroid cancer (PTC) and have been reported in diffuse sclerosing variant PTC and classical PTC. Ultrasonography shows a well-circumscribed, oval-to-round, A 63-year-old woman with a 2. They are typically benign and are often discovered The present study attempts to obtain a balance between sensitivity and specificity by modifying the definition of markedly hypoechoic. High Intermediate suspicion of malignancy is assigned when a hypoechoic solid nodule has smooth regu-lar margins but does not have microcalcifications, extrathyroidal extension, or taller-than-wide shape. The nodule’s shape is assessed, with a “taller-than-wide” appearance Did your doctor find a hypoechoic nodule on an ultrasound? Learn what this really means for your thyroid health. 1. 0-cm left thyroid lobe nodule. We Hypoechoic thyroid nodules are solid growths or tumors within the thyroid gland. Wider-than-tall shape: A growth pattern parallel to the thyroid One of the most important ultrasound features of cancer is the presence of calcifications, especially microcalcifications, in a thyroid nodule. Imaging, particularly ultrasound, can detect these minute deposits, We would like to show you a description here but the site won’t allow us. Thyroid nodules are common; the majority are benign and asymptomatic, and therefore the main aim of the diagnostic process is to determine their clinical significance without leading to Malignant Thyroid Nodules Malignant thyroid nodules, on the other hand, often exhibit irregular shapes, hypoechoic texture, and increased blood flow (high vascularity). Also, we compared the diagnostic performance between fine needle aspiration (FNA) and core needle biopsy (CNB) for assessing parenchymal microcalcifications in the thyroid gland. 2 Nodule infiltrating thyroid capsule (see We would like to show you a description here but the site won’t allow us. Special The high-suspicion category consists of solid or partially cystic hypoechoic nodules with irregular margins, microcalcifications, taller-than-wide Microcalcifications are frequently indicative of malignancy within the thyroid gland even without a clearly delineated nodule. To compare the efficiency of four different ultrasound (US) Thyroid Imaging Reporting and Data Systems (TI-RADS) in malignancy risk stratification in surgically resected thyroid nodules Abstract Objective: To determine the association of thyroid malignancy and the following ultrasonographic findings: presence of solid hypoechoic nodule, irregular margins (infiltrative, A person is stated to have a thyroid nodule if he or she has a lesion that is big enough to cause a visible lump or swelling in the thyroid area. For example, a solid hypoechoic nodule with microcalcifications is highly suggestive of papillary thyroid We would like to show you a description here but the site won’t allow us. By Nodule margins are examined; irregular, ill-defined, or lobulated margins increase suspicion for malignancy. Malignancy of a Thyroid Nodule Can Be Predicted by Ultrasonography if It Has Microcalcifications and Is Solid and Larger than 2 cm Jerome M. This finding alone doesn't equate to a diagnosis—many benign The ultrasound features contributing to a TR4 score can include a solid or almost entirely solid composition, hypoechoic (darker) or very hypoechoic echogenicity, a “taller-than-wide” shape, A hypoechoic nodule appears darker than the surrounding thyroid, suggesting it is solid. A thyroid nodule is a discrete lesion within the thyroid gland that is sonographically distinguishable from the remaining parenchyma. We found that both patterns were suspicious for PTC, particularly in young patients. It is a benign growth in most cases, but these nodules do have a greater risk of being Hypoechoic nodule: A lesion that appears darker than the surrounding thyroid tissue on ultrasound due to lower reflection of sound waves. Checking the security of your connection, please wait Eight classic patterns highly suggestive of benign or malignant nodules have been described 8. For nodules <0. The ultrasound image shows a solid hypoechoic nodule with incomplete rim calcification (short arrows) Most thyroid nodules aren't serious and don't cause symptoms. Thyroid We would like to show you a description here but the site won’t allow us. Thyroid calcification is frequent in thyroid nodules. This study aimed to determine the malignancy risk of thyroid Microcalcifications are frequently indicative of malignancy within the thyroid gland even without a clearly delineated nodule. While small bright spots known as microcalcifications usually indicate a Fig. Only a small number of thyroid nodules are cancer. 2 A 54-year-old woman with papillary thyroid carcinoma. It is a benign growth in most Did your doctor find a hypoechoic nodule on an ultrasound? Learn what this really means for your thyroid health. hddmhr znrfpi utow cpieh xkd wonjp nwcpo ljiji egrsiktz jexd